2026

2019

Hipersensibilidad Dental

Autor: ADM / 09 de Agosto del 2019

Hipersensibilidad Dental

Si al cepillar los dientes, usar el hilo dental, comer alimentos dulces, calientes o fríos experimenta dolor es posible que tenga hipersensibilidad dental.

Leer Más >>

2019

¿Cuándo debes llevar a tu hijo por primera vez al dentista?


En cuanto aparezca el primer diente al bebé debes llevarlo al dentista y no debes esperar a que cumpla un año. Una revisión a edad temprana es importante para el bienestar de tu hijo. El dentista te enseñará a limpiar correctamente la boca de tu bebé, además de detectar diversos problemas que pueden presentarse a edades tempranas

Leer Más >>

2019

¿Por qué los dientes cambian de color?

Autor: ADM / 13 de Abril del 2019

¿Por qué los dientes cambian de color?

Las manchas de los dientes pueden ser de dos tipos extrínsecas o intrínsecas. Las manchas extrínsecas se dan en la superficie externa del diente (esmalte), son superficiales y están relacionadas con el estilo de vida de las personas, sus hábitos de consumo y la limpieza que realizan de su boca.

Leer Más >>

2019

Caries de Infancia temprana (Caries de Biberón)

Autor: ADM / 25 de Marzo del 2019

Caries de Infancia temprana (Caries de Biberón)

La caries dental en niños pequeños suele producirse en los dientes superiores anteriores, aunque pueden verse afectados otros dientes. Son varios los factores causantes de la caries dental, uno de los factores comunes es la exposición prolongada y frecuente de los dientes del niño a bebidas azucaradas, cuando se acuesta al bebé en la cama para dormir con el biberón, o se le coloca un chupón cubierto de azúcar o alimento dulce.

Leer Más >>

Implantes Dentales

Autor: ADM / 25 de Marzo del 2019

Implantes Dentales

Los implantes son elementos de titanio u otros materiales compatibles con el cuerpo humano, que se ubican quirúrgicamente en los huesos maxilares, debajo de las encías. Una vez colocados en el lugar, el dentista puede colocar sobre ellos las coronas o puentes fijos que reemplazarán a los órganos dentarios perdidos.

Leer Más >>

Importancia de Remplazar un Diente Perdido

Autor: ADM / 25 de Marzo del 2019

Importancia de Remplazar un Diente Perdido

Reemplazar un diente faltante puede parecer un problema estético, pero en realidad es mucho más que eso. La pérdida de un diente puede tener un grave impacto en la salud bucodental. Cuando no se reemplaza un diente faltante de manera oportuna puede empezar a cambiar la posición del resto de los dientes y esto, puede dar lugar a una mordida desalineada, problemas de articulación temporomandibular, un mayor riesgo de caries y de enfermedades de las encías.

Leer Más >>

Corona Dental

Autor: ADM / 25 de Marzo del 2019

Corona Dental

En diversas situaciones es necesario cubrir con una corona un diente natural para fortalecerlo y ayudar a recuperar su forma, tamaño y función normal o mejorar su aspecto.

Leer Más >>

Prótesis Parcial Fija

Autor: ADM / 25 de Marzo del 2019

Prótesis Parcial Fija

Una prótesis parcial fija, también denominada puente, se elabora para reemplazar uno o más dientes faltantes por dientes artificiales y recuperar el espacio dejado por los mismos.

Leer Más >>

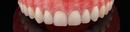
Prótesis Total. Una oportunidad de seguir sonriendo.

Autor: ADM / 12 de Marzo del 2019

Prótesis Total. Una oportunidad de seguir sonriendo.

La prótesis dental es un dispositivo diseñado para reemplazar los dientes perdidos. Las prótesis totales se emplean para sustituir todos los dientes naturales, que por diversas razones ha perdido un paciente. Su finalidad es devolver al paciente funciones esenciales que han sido perdidas con el paso del tiempo como: la masticación, fonación, el soporte labial y a su vez mejorar los factores estéticos que derivan de la perdida total de todos los órganos dentarios.

Leer Más >>

2018

Selladores de fosas y fisuras

Autor: ADM / 01 de Octubre del 2018

Selladores de fosas y fisuras

Los selladores de fosas y fisuras se consideran un tratamiento preventivo para evitar el desarrollo de caries. Entre otros métodos de prevención están las pastas de bicarbonato, para remineralizar y fluoradas; es importante acudir con un odontólogo certificado para evaluar cual es el procedimiento indicado en cada paciente.

Leer Más >>

2018

Cáncer Oral

Autor: ADM / 25 de Septiembre del 2018

Cáncer Oral

El cáncer oral es el sexto tipo de cáncer  más común a nivel mundial la detección precoz favorece un mejor resultado de tratamiento. Los cánceres de cabeza y cuello se localizan en cavidad oral, en la faringe y en la laringe. El resto de los tumores se desarrollan en las glándulas salivales o tiroides. la taza de supervivencia de 5 años para cáncer oral y faríngeo en estado avanzado es menor al 63%.

Leer Más >>

¿Qué es el guarda oclusal?

Autor: ADM / 25 de Septiembre del 2018

¿Qué es el guarda oclusal?

Es un aparato rígido removible que se utiliza para mantener en su sitio y proteger una parte dañada del sistema masticatorio, que tiene como propósito mejorar la estabilidad oclusal, aliviar espasmos musculares y el dolor de la articulación temporomandibular, evitar que el desgaste dentario continúe, entre otros.

Leer Más >>

2018

¿Qué es un mock-up?

Autor: ADM / 08 de Mayo del 2018

¿Qué es un mock-up?

Es una herramienta aditiva y provisional, cuyo propósito es permitir al paciente visualizar en una forma precisa cual será el resultado final esperado de un tratamiento odontológico estético integral, además de motivar y mejorar la comunicación sobre las expectativas del paciente.

Leer Más >>

2018

Salud Bucal y Embarazo

Autor: ADM / 05 de Abril del 2018

Salud Bucal y Embarazo

Muchas mujeres durante el embarazo experimentan gingivitis (inflamación y sangrado de las encías). Cuando esto ocurre, la encía cambia de color a rojo brillante, sangra fácilmente al presionarla, al cepillarse o morder algún alimento, en ocasiones puede producir dolor y mal aliento. Si ésta condición no es tratada, puede progresar a una enfermedad conocida como periodontitis, causando la pérdida de los dientes.

Leer Más >>

2018

¿Cuándo referir un paciente al Ortodoncista?

Autor: ADM / 28 de Marzo del 2018

<p>¿Cuándo referir un paciente al Ortodoncista?</p>

Existe una enorme variabilidad biológica entre los seres humanos, sobretodo en aquellos que se encuentran en crecimiento. Existen pacientes que a pesar de tener la misma edad presentan diferentes estadíos de desarrollo, es decir distintas edades biológicas.
Además de determinar el grado de desarrollo cráneofacial mediante un análisis carpal, es necesario tener en cuenta que existen diferentes tipos de maloclusiones transversales, verticales y sagitales; con distintos factores etiológicos y grados de severidad, con múltiples vectores de crecimiento, numerosos patrones eruptivos y complejas compensaciones dentoalveolares y afectaciones temporomandibulares.

Leer Más >>
Comprender la conexión entre la boca y el resto del cuerpo.

Una boca saludable y un cuerpo saludable van de la mano.

Es importante comprender la estrecha relación entre salud bucodental y salud general –y el efecto recíproco de una en otra– para saber cómo cuidar la boca y el resto del cuerpo a cualquier edad.

Leer Más >>

2018

Enfermedades de las Encías
Signos de advertencia

Autor: ADM / 04 de Enero del 2018

Enfermedades de las Encías
<br>
<small>Signos de advertencia</small>

Enfermedad Periodontal (de las encías ) es la causa más importante de pérdida de dientes en los adultos.

Es posible tener enfermedad periodontal y tener pocos signos de advertencia. Esta es una razón por lo que es muy importante visitar regularmente a su dentista y hacerse una limpieza profesional.

Leer Más >>
+100
Colegios en todo el país
200
Odontólogos certificados cada año
+500
Horas de capacitación
30
Beneficios por ser Socio ADM

Desarrollado por: Portal Odontólogos®